Masson's Trichrome Stain Kit
Product Number:
-
25088
Product Description
Masson’s Trichrome Stain Kit
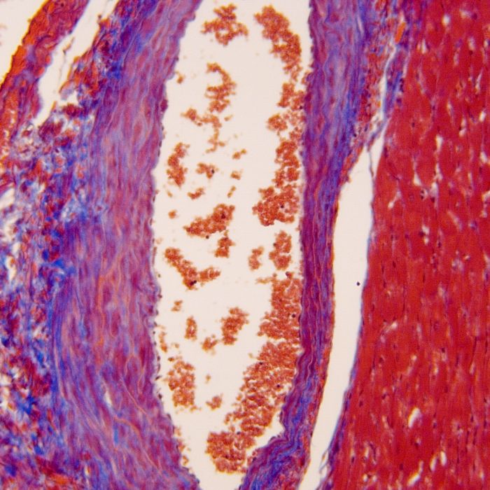
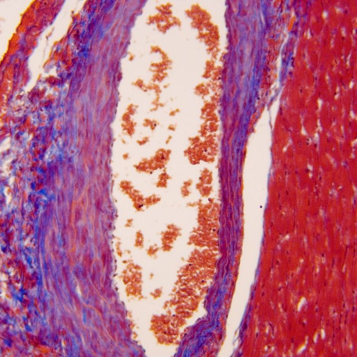
Masson’s Trichrome Stain Kit is a multichromatic staining system used for the visualization and differentiation of collagen fibers in tissue sections. It is commonly applied to formalin-fixed, paraffin-embedded specimens and may also be used on frozen sections with appropriate preparation.
The stain differentiates connective tissue from surrounding cellular structures by selectively coloring collagen fibers blue, nuclei black, and cytoplasm, muscle, and erythrocytes red, enabling clear visualization of tissue architecture.
Key Features
- Established trichrome method for connective tissue differentiation
- Clear color separation of collagen, nuclei, and cytoplasmic elements
- Compatible with paraffin-embedded and frozen sections
- Widely referenced in histology and pathology literature
Expected Staining Results
- Collagen fibers: Blue
- Nuclei: Black
- Cytoplasm, muscle, erythrocytes: Red
Applications
- Collagen and connective tissue visualization
- Tissue architecture assessment in skin, heart, and other organs
- Fibrosis and connective tissue distribution studies
- General histology research and teaching laboratories
Format and Availability
- Complete stain kit format
- Available in 100 mL and 500 mL sizes
FAQs
Common questions about Masson’s Trichrome Stain Kit.
-
What is Masson’s Trichrome stain used for?
It is used to differentiate collagen fibers from muscle, cytoplasm, and nuclei in tissue sections.
-
What colors does the stain produce?
Collagen fibers stain blue, nuclei appear black, and cytoplasm, muscle fibers, and erythrocytes stain red.
-
Can this stain be used on frozen sections?
Yes. With appropriate preparation, it can be applied to frozen tissue sections as well as paraffin-embedded specimens.
-
Is Masson’s Trichrome a diagnostic stain?
It is widely used in research and histology laboratories. Diagnostic use depends on laboratory protocols and professional interpretation.

